• Monday & Thursday: 8:00am – 4:00pm
  • Tuesday & Wednesday: 9:00am – 5:00pm
  • Select Fridays with various hours

Case 2

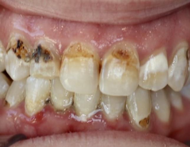
This patient hadn’t confidently smiled in years. Frequent energy drinks had damaged her teeth, and her family rarely saw her smile. With six crowns on the upper and six on the lower front teeth, we restored her smile and gave her back the confidence her loved ones had been missing.

Anonymous
Case 5 Before
Case 5 After