Javascript must be enabled for the correct page display
Monday & Thursday:
8:00am – 4:00pm
Tuesday & Wednesday:
9:00am – 5:00pm
Select Fridays with various hours
(317) 204-8096
Search
Main Menu
Smile Gallery
Services
Toggle Dropdown
Wellness
Toggle Dropdown
Dental Sealants
Exams & Cleanings
Restorative
Toggle Dropdown
Crowns & Bridges
Fillings
Cosmetic
Toggle Dropdown
Clear Aligners
Teeth Whitening
Veneers
Conditions
Toggle Dropdown
TMJ Treatment
Oral Surgery
Toggle Dropdown
Root Canals
Sedation Dentistry
About Us
Toggle Dropdown
Meet the Team
Toggle Dropdown
Dentists
Support Staff
Testimonials
Office Tour
Community Involvement
Blog
Patient Info
Toggle Dropdown
Insurance & Financing
Special Offers
Your First Visit
Make a Payment
Swag
Dental Implants
(317) 204-8096
Search
Request an Appointment
Request an Appointment
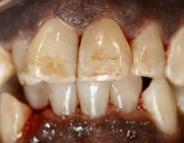
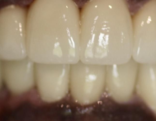
Case 3
Anonymous